Cabinet du Dr Benjamin Lascar
Dentiste Paris 19ème
Cabinet du Dr Benjamin Lascar
Dentiste Paris 19ème

5 place des fêtes
75019 PARIS

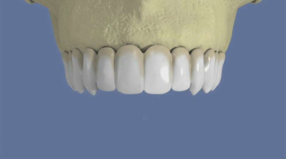
Maxillaire : bridge vissé sans fausse gencive


video-play-icon

Articles similaires

Création par Webdentiste

Connexion